выбор зубной щетки пасты
Выбор зубной щетки и пасты⁚ критерии и рекомендации Здоровье полости рта – залог общего благополучия․ Правильный выбор зубной щетки и пасты – это первый
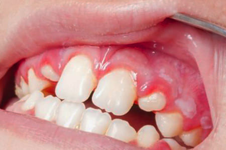
Профилактика пародонтита⁚ ключ к здоровью полости рта Пародонтит – это серьезное заболевание‚ поражающее ткани‚ окружающие зубы.
Профилактика кариеса у детей раннего возраста⁚ комплексный подход к здоровым зубам Здоровье зубов малыша – залог его общего благополучия.
Профессиональная гигиена полости рта
Лучшие зубные щетки и пасты⁚ выбираем правильно Здоровье полости рта – залог общего благополучия. Правильный выбор зубной щетки и пасты – важный шаг на



