- Лечение эрозии твердых тканей зубов⁚ современные методы и профилактика
- Причины эрозии зубов⁚ от кислотных напитков до бруксизма
- Диагностика эрозии зубов⁚ важность своевременного обращения к врачу
- Методы лечения эрозии твердых ткании зубов⁚ от реминерализации до реставрации
- Реминерализирующая терапия⁚ восстановление минерального баланса эмали
- Профилактика эрозии зубов⁚ здоровые привычки для крепкой эмали
- Список полезных советов для профилактики эрозии зубов⁚
- Облако тегов
Лечение эрозии твердых тканей зубов⁚ современные методы и профилактика
Эрозия твердых тканей зубов – это распространенное заболевание, характеризующееся постепенным разрушением эмали и дентина. В отличие от кариеса, эрозия не вызывается бактериями, а возникает из-за воздействия различных внешних факторов. Это может быть кислая пища и напитки, частая рвота, бруксизм (скрежетание зубами), или даже неправильный уход за полостью рта. Понимание причин эрозии – первый шаг к ее эффективному лечению и предотвращению дальнейшего разрушения зубов. В этой статье мы рассмотрим современные методы лечения эрозии твердых тканей зубов, а также эффективные стратегии профилактики, позволяющие сохранить здоровье вашей улыбки на долгие годы.
Причины эрозии зубов⁚ от кислотных напитков до бруксизма
Многочисленные факторы способствуют развитию эрозии зубов. К наиболее распространенным относятся⁚ регулярное употребление кислых напитков, таких как газированные воды, соки и фруктовые напитки. Кислоты в этих напитках разрушают защитный слой эмали, делая зубы более уязвимыми к дальнейшему повреждению. Кроме того, частая рвота, например, при булимии или беременности, также приводит к постоянному воздействию желудочной кислоты на зубы. Бруксизм, или скрежетание зубами во сне, создает механическое воздействие, усугубляющее эрозию, уже начавшуюся из-за других факторов. Наконец, неправильная гигиена полости рта и недостаток минералов в организме также могут способствовать развитию эрозии.
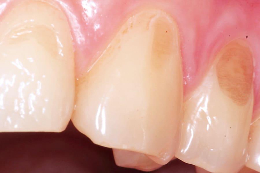
Диагностика эрозии зубов⁚ важность своевременного обращения к врачу
Ранняя диагностика эрозии зубов играет ключевую роль в успешном лечении. На начальных стадиях эрозия может быть практически незаметна, проявляясь лишь незначительным изменением блеска эмали. Однако по мере прогрессирования заболевания появляются более выраженные симптомы⁚ повышенная чувствительность зубов к холодному, горячему, кислому и сладкому, появление шероховатостей на поверхности эмали, изменение цвета зубов. Стоматолог проводит визуальный осмотр, использует специальные инструменты для оценки глубины поражения и при необходимости назначает дополнительные исследования, такие как рентгенография.
Методы лечения эрозии твердых ткании зубов⁚ от реминерализации до реставрации
Выбор метода лечения эрозии зависит от степени поражения зубов. На ранних стадиях, когда эмаль еще не сильно повреждена, эффективна реминерализация – процедура, направленная на восстановление минерального состава эмали. Она включает в себя использование специальных паст и гелей, содержащих фтор и кальций. В более запущенных случаях может потребоваться реставрация с использованием композитных материалов или виниров. Композитные материалы позволяют восстановить утраченные ткани зуба, а виниры – тонкие керамические пластинки, приклеиваемые к поверхности зуба, маскируют дефекты и защищают эмаль от дальнейшего разрушения. В тяжелых случаях может понадобиться установка коронок.
Реминерализирующая терапия⁚ восстановление минерального баланса эмали
Реминерализирующая терапия – это консервативный метод лечения, направленный на восстановление минерального состава эмали. Этот метод эффективен на ранних стадиях эрозии, когда разрушение эмали еще не слишком глубокое. Процедура заключается в нанесении на поверхность зубов специальных препаратов, содержащих фтор, кальций и фосфаты. Эти вещества проникают в микротрещины эмали, заполняя их и восстанавливая ее структуру. Реминерализирующая терапия может проводиться как в условиях стоматологической клиники, так и в домашних условиях с использованием специальных средств, рекомендованных врачом.
Профилактика эрозии зубов⁚ здоровые привычки для крепкой эмали
Профилактика эрозии зубов – это важный аспект сохранения здоровья полости рта. Ключевым моментом является снижение воздействия кислот на зубы. Рекомендуется ограничить потребление кислых напитков, пить их через соломинку, полоскать рот водой после каждого приема пищи и напитков, содержащих кислоты. Правильная гигиена полости рта, включающая тщательную чистку зубов два раза в день и использование фторсодержащей зубной пасты, также играет важную роль в предотвращении эрозии. Регулярные визиты к стоматологу помогут выявить эрозию на ранней стадии и принять необходимые меры для ее лечения.
| Метод профилактики | Описание |
|---|---|
| Ограничение потребления кислой пищи и напитков | Снижает воздействие кислот на эмаль зубов. |
| Использование соломинки | Минимизирует контакт кислот с зубами. |
| Полоскание рта водой после приема пищи | Удаляет остатки кислот с поверхности зубов. |
| Правильная гигиена полости рта | Предотвращает развитие кариеса и других заболеваний. |
| Регулярные визиты к стоматологу | Позволяют выявить эрозию на ранней стадии. |
Список полезных советов для профилактики эрозии зубов⁚
- Ограничьте потребление газированных напитков и соков.
- Пользуйтесь зубной пастой с фтором.
- Регулярно посещайте стоматолога.
- Избегайте частого употребления кислых фруктов и ягод.
- Если вы страдаете от рвоты, проконсультируйтесь с врачом.
Хотите узнать больше о лечении и профилактике заболеваний полости рта? Прочитайте наши другие статьи на сайте!
Облако тегов
| эрозия зубов | лечение эрозии | профилактика эрозии |
| чувствительность зубов | реминерализация | реставрация зубов |
| здоровье зубов | стоматолог | гигиена полости рта |








