- Влияние профессиональной гигиены полости рта на предотвращение пародонтита
- Что такое пародонтит и его причины?
- Роль профессиональной гигиены в профилактике пародонтита
- Процедуры профессиональной гигиены
- Преимущества регулярной профессиональной гигиены
- Как часто нужно посещать гигиениста?
- Таблица сравнения домашней и профессиональной гигиены
- Облако тегов
Влияние профессиональной гигиены полости рта на предотвращение пародонтита
Пародонтит – это серьезное заболевание, поражающее ткани, окружающие зубы. Он может привести к потере зубов, а также связан с рядом системных заболеваний, таких как диабет и сердечно-сосудистые патологии. Многие люди недооценивают роль профилактики в борьбе с пародонтитом, полагая, что достаточно лишь чистить зубы дважды в день. Однако, даже при самой тщательной домашней гигиене, профессиональная чистка играет критически важную роль в предотвращении и лечении этого заболевания. В этой статье мы подробно рассмотрим, как профессиональная гигиена полости рта влияет на предотвращение пародонтита и почему она является неотъемлемой частью комплексного подхода к здоровью полости рта.
Что такое пародонтит и его причины?
Пародонтит – это воспалительное заболевание, затрагивающее десны, связочный аппарат зуба и костную ткань, поддерживающую зуб. Он развивается постепенно, начиная с гингивита – воспаления десен. Если гингивит не лечить, он может перейти в пародонтит, характеризующийся разрушением тканей, окружающих зубы, и образованием пародонтальных карманов – пространств между зубом и десной, заполненных бактериями.
Главная причина пародонтита – это накопление бактериального налета на зубах и деснах. Этот налет, состоящий из бактерий, остатков пищи и слюны, со временем минерализуется, образуя зубной камень. Зубной камень является идеальной средой для размножения бактерий, вызывающих воспаление и разрушение тканей. К факторам риска развития пародонтита относятся курение, генетическая предрасположенность, диабет, стресс и некоторые заболевания иммунной системы.
Роль профессиональной гигиены в профилактике пародонтита
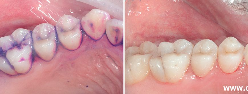
Профессиональная гигиена полости рта – это комплекс процедур, проводимых стоматологом-гигиенистом, направленных на удаление зубного камня, налета и пигментированного налета с поверхности зубов и из пародонтальных карманов. Эти процедуры являются неотъемлемой частью профилактики пародонтита и позволяют значительно снизить риск его развития или прогрессирования.
Ключевым элементом профессиональной гигиены является ультразвуковая чистка зубов. Ультразвуковой скалер эффективно удаляет твердые отложения – зубной камень – из труднодоступных мест, где обычная зубная щетка не справляется. После ультразвуковой чистки проводится полировка поверхности зубов специальными пастами, что делает их гладкими и препятствует повторному накоплению налета.
Процедуры профессиональной гигиены
- Удаление зубного камня⁚ Ультразвуковая чистка и ручное удаление камня.
- Полировка зубов⁚ Сглаживание поверхности для предотвращения накопления налета.
- Фторирование⁚ Укрепление эмали и защита от кариеса.
- Отбеливание (по желанию)⁚ Удаление пигментации и улучшение эстетики.
- Индивидуальные рекомендации по гигиене⁚ Подбор оптимальных средств и техники чистки зубов.
Преимущества регулярной профессиональной гигиены
Регулярная профессиональная гигиена полости рта – это инвестиция в ваше долгосрочное здоровье зубов и десен. Она позволяет⁚
- Предотвратить развитие пародонтита и кариеса.
- Сохранить зубы на всю жизнь.
- Улучшить эстетику улыбки.
- Снизить риск развития системных заболеваний, связанных с заболеваниями полости рта.
- Обнаружить заболевания на ранней стадии и начать своевременное лечение.
Как часто нужно посещать гигиениста?
Частота посещения стоматолога-гигиениста зависит от индивидуальных особенностей и состояния полости рта. Однако, как правило, рекомендуется проводить профессиональную гигиену полости рта не реже двух раз в год. При наличии факторов риска, таких как пародонтит или склонность к образованию зубного камня, посещать гигиениста следует чаще, возможно, раз в квартал.
Не стоит забывать, что профессиональная гигиена – это лишь часть комплексного подхода к здоровью полости рта. Важную роль играет также правильная домашняя гигиена, включающая регулярную чистку зубов, использование зубной нити и ополаскивателя.
Таблица сравнения домашней и профессиональной гигиены
| Характеристика | Домашняя гигиена | Профессиональная гигиена |
|---|---|---|
| Удаление зубного камня | Невозможно | Возможно |
| Удаление налета | Частично | Полностью |
| Доступность | Высокая | Средняя |
| Эффективность | Средняя | Высокая |
| Стоимость | Низкая | Средняя |
Хотите узнать больше о профилактике заболеваний полости рта? Прочитайте наши другие статьи о лечении кариеса, имплантации зубов и отбеливании.
Облако тегов
| Пародонтит | Профессиональная гигиена | Зубной камень |
| Здоровье полости рта | Профилактика | Гигиенист |
| Стоматология | Зубы | Десна |








