- Преимущества лазерного лечения пародонтита перед традиционными методами
- Меньшая инвазивность и более короткий период восстановления
- Более высокая эффективность лечения
- Сравнительная таблица традиционных и лазерных методов лечения пародонтита
- Меньший риск осложнений
- Более комфортная процедура
- Преимущества лазерного лечения пародонтита в пунктах⁚
- Облако тегов
Преимущества лазерного лечения пародонтита перед традиционными методами
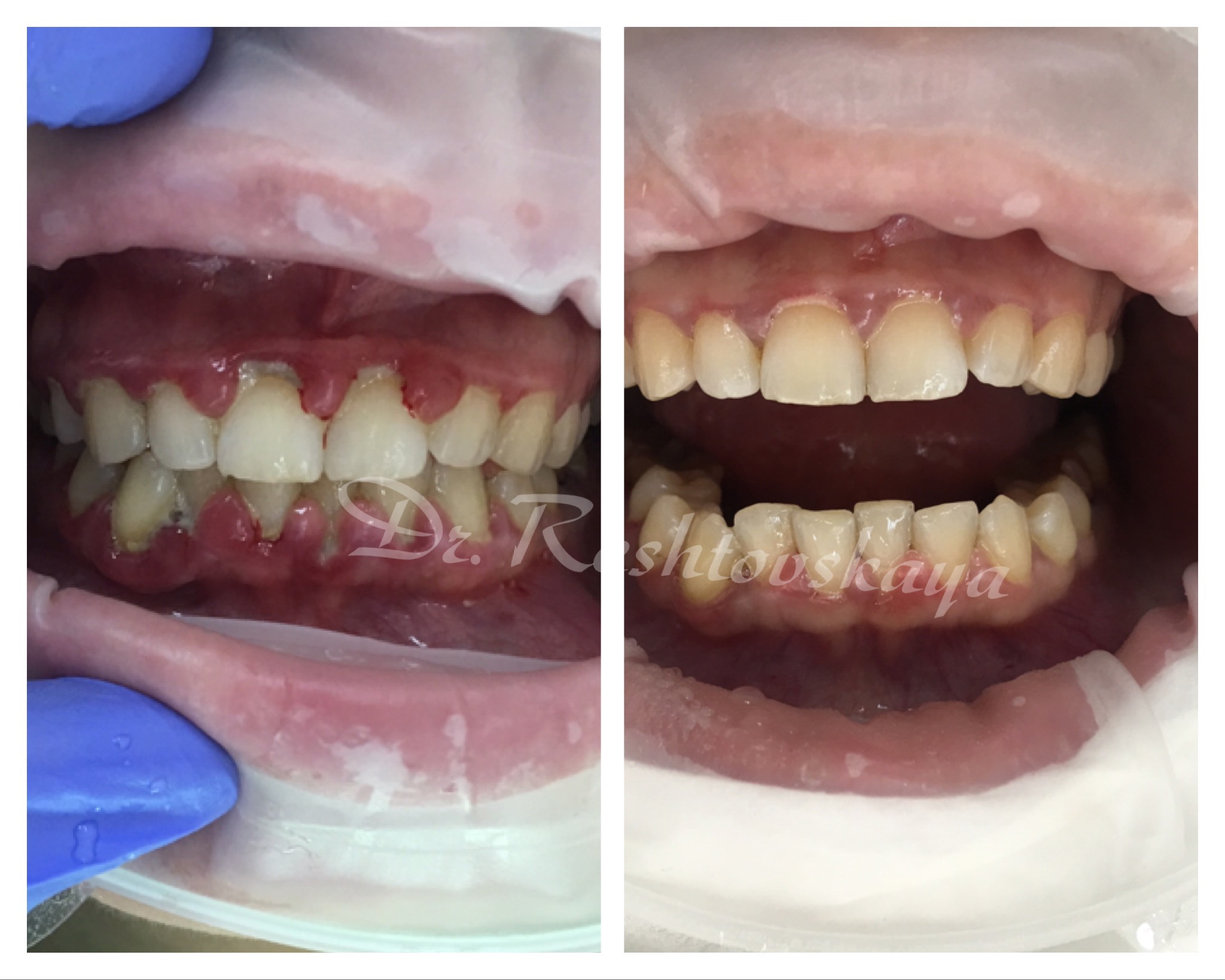
Пародонтит – это серьезное заболевание десен, которое, если его не лечить, может привести к потере зубов; Традиционные методы лечения пародонтита, такие как хирургическое вмешательство и кюретаж, часто связаны с длительным периодом восстановления, дискомфортом и риском осложнений. В последние годы лазерное лечение пародонтита стало все более популярным благодаря своим преимуществам перед традиционными методами. В этой статье мы подробно рассмотрим эти преимущества, помогая вам сделать информированный выбор в отношении вашего здоровья полости рта.
Меньшая инвазивность и более короткий период восстановления
Одно из главных преимуществ лазерного лечения пародонтита – его минимальная инвазивность. В отличие от традиционных хирургических методов, которые требуют разрезов и швов, лазерное лечение воздействует на пораженные ткани с высокой точностью, минимизируя травматизацию окружающих тканей. Это приводит к значительно более короткому периоду восстановления. Пациенты испытывают меньше боли и дискомфорта после процедуры, что позволяет им быстрее вернуться к нормальной жизни. Вы сможете вернуться к своим повседневным делам гораздо быстрее, чем после традиционного лечения.
Представьте⁚ вместо нескольких дней, проведенных в постели с болью и отеком, вы можете наслаждаться комфортом уже на следующий день после процедуры. Это существенное преимущество, которое высоко ценят пациенты, особенно те, кто ведет активный образ жизни и не может позволить себе длительный перерыв.
Более высокая эффективность лечения
Лазерная терапия демонстрирует высокую эффективность в борьбе с бактериями, вызывающими пародонтит. Лазерный луч способен проникать вглубь пораженных тканей, уничтожая патогенную микрофлору и стимулируя регенерацию тканей. Это приводит к более эффективному лечению и снижает риск рецидива заболевания. Традиционные методы, такие как кюретаж, могут не всегда достигать всех пораженных участков, оставляя очаги инфекции, что увеличивает вероятность повторного развития пародонтита.
Лазерная технология позволяет врачу-пародонтологу работать с высокой точностью, достигая даже труднодоступных мест. Это обеспечивает комплексное лечение и максимально эффективно устраняет причину заболевания.
Сравнительная таблица традиционных и лазерных методов лечения пародонтита
| Метод лечения | Инвазивность | Период восстановления | Эффективность | Дискомфорт |
|---|---|---|---|---|
| Традиционный (хирургический) | Высокая | Длительный (несколько дней ⎯ недель) | Средняя | Высокий |
| Лазерный | Минимальная | Короткий (несколько часов ⸺ дней) | Высокая | Низкий |
Меньший риск осложнений
Лазерное лечение пародонтита характеризуется меньшим риском осложнений по сравнению с традиционными методами. Травматичность процедуры значительно ниже, что снижает вероятность кровотечений, инфекций и других послеоперационных осложнений. Это особенно важно для пациентов с ослабленным иммунитетом или имеющих сопутствующие заболевания.
Снижение риска осложнений – это не только комфорт для пациента, но и гарантия более предсказуемого и успешного результата лечения. Вы можете быть уверены, что ваш выбор в пользу лазерной терапии обеспечит вам максимальную безопасность и эффективность лечения.
Более комфортная процедура
Многие пациенты отмечают, что лазерное лечение пародонтита значительно комфортнее, чем традиционные методы. Процедура практически безболезненна благодаря использованию местной анестезии, а период восстановления сопровождается минимальным дискомфортом. Это делает лазерную терапию более привлекательной для пациентов, которые боятся боли и неприятных ощущений.
Комфорт пациента – важный аспект любого медицинского вмешательства. Лазерная терапия позволяет сделать лечение максимально комфортным, снижая стресс и тревогу, связанные с посещением стоматолога.
Преимущества лазерного лечения пародонтита в пунктах⁚
- Минимальная инвазивность
- Короткий период восстановления
- Высокая эффективность
- Низкий риск осложнений
- Комфортная процедура
Лазерное лечение пародонтита представляет собой современный и эффективный метод борьбы с этим распространенным заболеванием. Его преимущества перед традиционными методами очевидны⁚ меньшая инвазивность, более короткий период восстановления, высокая эффективность, низкий риск осложнений и комфорт процедуры. Если вы столкнулись с проблемой пародонтита, обратитесь к специалисту для консультации и обсуждения возможности лазерного лечения.
Надеемся, эта статья помогла вам лучше понять преимущества лазерного лечения пародонтита. Рекомендуем также ознакомиться с нашими другими статьями, посвященными уходу за полостью рта и профилактике заболеваний десен.
Узнайте больше о здоровье ваших зубов! Прочитайте наши другие статьи о лечении пародонтита и других стоматологических проблемах.
Облако тегов
| лазерное лечение | пародонтит | лечение десен | зубы | стоматология |
| здоровье полости рта | традиционные методы | регенерация тканей | гигиена полости рта | профилактика пародонтита |








