- Перспективы лечения эрозии эмали⁚ современные методы и прогнозы
- Причины эрозии эмали и факторы риска
- Диагностика эрозии эмали⁚ современные методы
- Методы лечения эрозии эмали⁚ от консервативных до реставрационных
- Консервативное лечение
- Реставрационное лечение
- Прогноз лечения эрозии эмали
- Таблица сравнения методов лечения
- Облако тегов
Перспективы лечения эрозии эмали⁚ современные методы и прогнозы
Эрозия эмали – это проблема, с которой сталкиваются многие люди. Потеря минерализованного слоя зубов не только портит эстетику улыбки, но и открывает доступ к дентинным канальцам, вызывая повышенную чувствительность, боль и, в запущенных случаях, кариес. К счастью, современная стоматология предлагает широкий спектр методов лечения, позволяющих не только остановить разрушение эмали, но и восстановить ее структуру. В этой статье мы подробно рассмотрим перспективы лечения эрозии эмали, обсудим самые эффективные методики и дадим прогнозы на будущее развития этой области стоматологии.
Причины эрозии эмали и факторы риска
Прежде чем говорить о лечении, необходимо понимать причины эрозии эмали. Наиболее распространенными факторами являются кислотный рефлюкс (изжога), частое употребление кислых продуктов и напитков (газировки, цитрусовые соки, вина), неправильная гигиена полости рта, бруксизм (скрежетание зубами), а также рвота (например, при булимии). Кроме того, генетическая предрасположенность и некоторые заболевания также могут повышать риск развития эрозии.
Важно отметить, что своевременная диагностика играет ключевую роль в успешном лечении. Чем раньше вы обратитесь к стоматологу, тем больше шансов предотвратить дальнейшее разрушение эмали и сохранить здоровье ваших зубов. Регулярные профилактические осмотры – залог здоровой улыбки на долгие годы.
Диагностика эрозии эмали⁚ современные методы
Для диагностики эрозии эмали стоматолог использует визуальный осмотр, специальные красители, которые позволяют выявить участки деминерализации, и рентгенографию. Современные технологии, такие как компьютерная томография (КТ) и конусно-лучевая компьютерная томография (КЛКТ), обеспечивают более детальное изображение структуры зубов, что помогает определить степень поражения эмали и разработать индивидуальный план лечения.
Важно понимать, что самолечение в данном случае недопустимо. Только опытный специалист может правильно оценить состояние зубов и назначить соответствующее лечение. Не пытайтесь самостоятельно определить степень эрозии и выбирать методы лечения – это может привести к нежелательным последствиям.
Методы лечения эрозии эмали⁚ от консервативных до реставрационных
Консервативное лечение
Консервативное лечение направлено на замедление процесса разрушения эмали и снижение чувствительности зубов. Включает в себя⁚
- Изменение диеты⁚ исключение или ограничение потребления кислых продуктов и напитков.
- Использование фторсодержащих средств⁚ пасты, гели, лаки.
- Применение реминерализующих препаратов⁚ они помогают восстановить минеральный состав эмали.
- Обучение правильной гигиене полости рта.
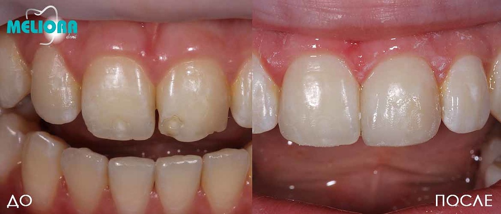
Реставрационное лечение
Если консервативное лечение неэффективно или эрозия уже значительная, применяется реставрационное лечение. Это включает в себя⁚
- Композитные пломбы⁚ для заполнения небольших дефектов эмали.
- Виниры⁚ тонкие пластинки, которые наклеиваются на переднюю поверхность зубов.
- Коронки⁚ используются при значительном разрушении эмали.
Выбор метода лечения зависит от индивидуальных особенностей пациента и степени поражения эмали. Стоматолог подберет оптимальный вариант, учитывая все факторы.
Прогноз лечения эрозии эмали
Прогноз лечения эрозии эмали во многом зависит от своевременности обращения к врачу и соблюдения всех рекомендаций. При раннем выявлении и адекватном лечении можно добиться хороших результатов и предотвратить дальнейшее разрушение эмали. В случае запущенных форм прогноз может быть менее благоприятным, но даже в таких ситуациях современная стоматология предлагает эффективные методы восстановления зубов.
Важно помнить, что профилактика – лучший способ избежать эрозии эмали. Регулярные посещения стоматолога, правильная гигиена полости рта и сбалансированное питание – это ключ к здоровым и красивым зубам.
Таблица сравнения методов лечения
| Метод лечения | Показания | Преимущества | Недостатки |
|---|---|---|---|
| Консервативное лечение | Начальные стадии эрозии | Безопасность, доступность | Не всегда эффективно при значительном поражении |
| Композитные пломбы | Небольшие дефекты эмали | Эстетичность, долговечность | Может потребоваться повторная реставрация |
| Виниры | Значительное поражение передних зубов | Высокая эстетичность | Высокая стоимость, обточка зубов |
| Коронки | Сильное разрушение эмали | Надежность, защита зуба | Более инвазивная процедура |
Лечение эрозии эмали – это комплексный процесс, требующий индивидуального подхода. Современная стоматология предлагает широкий спектр методов, позволяющих эффективно бороться с этой проблемой. Своевременное обращение к специалисту и соблюдение всех рекомендаций – залог успешного лечения и сохранения здоровья ваших зубов на долгие годы. Не откладывайте визит к стоматологу – позаботьтесь о своей улыбке сегодня!
Хотите узнать больше о профилактике и лечении заболеваний полости рта? Читайте наши другие статьи о гигиене полости рта, лечении кариеса и других стоматологических проблемах!
Облако тегов
| эрозия эмали | лечение эрозии | чувствительность зубов | фтор | реминерализация |
| композитные пломбы | виниры | коронки | стоматология | профилактика |








