Восстановление десны после рецессии⁚ эффективные методы и прогнозы
Рецессия десны – это серьезная проблема, которая затрагивает миллионы людей во всем мире. Она характеризуется отступлением десневой ткани от поверхности зуба, обнажая корень и делая зубы более уязвимыми к кариесу, чувствительности и, в конечном итоге, к потере. Если вы столкнулись с этим заболеванием, то, вероятно, задаетесь вопросом⁚ как восстановить десну после рецессии? В этой статье мы подробно рассмотрим эффективные методы лечения и факторы, влияющие на прогноз восстановления.
Важно понимать, что рецессия десны – это не просто косметический дефект. Это заболевание, которое требует профессионального лечения и может иметь серьезные последствия для здоровья полости рта. Запущенная рецессия может привести к развитию пародонтита, потере зубов и другим осложнениям. Поэтому своевременное обращение к пародонтологу – залог успешного лечения и сохранения ваших зубов на долгие годы.
Причины рецессии десны⁚ от генетики до неправильной гигиены
Существует множество факторов, способствующих развитию рецессии десны. Среди них генетическая предрасположенность играет значительную роль. Если у ваших близких родственников наблюдалась рецессия десны, то вероятность ее развития у вас выше. Однако, генетика – лишь один из элементов этой сложной проблемы.
Не менее важна роль неправильной гигиены полости рта. Недостаточное удаление зубного налета и камня приводит к развитию воспаления десен (гингивита), которое, в свою очередь, может спровоцировать рецессию. Агрессивная чистка зубов жесткими щетками также может способствовать повреждению десневой ткани. Кроме того, бруксизм (скрежетание зубами), неправильный прикус и травмы также могут стать причиной отступления десен.
Наконец, некоторые системные заболевания, такие как диабет, могут ухудшить состояние десен и повысить риск рецессии. Поэтому важно тщательно следить за своим здоровьем и своевременно обращаться к врачу при наличии каких-либо заболеваний.
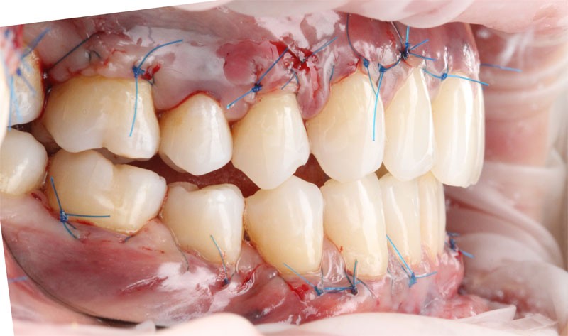
Методы восстановления десны⁚ от консервативных до хирургических
Выбор метода лечения рецессии десны зависит от степени ее выраженности и индивидуальных особенностей пациента. В некоторых случаях достаточно консервативных методов, таких как улучшение гигиены полости рта и профессиональная чистка зубов. Однако, при значительной рецессии требуется хирургическое вмешательство.
Среди хирургических методов наиболее распространены⁚
- Лоскутная операция⁚ этот метод заключается в отслаивании десневого лоскута, удалении подлежащего зубного камня и перемещении лоскута на место, закрывая оголенные корни зубов.
- Вестибулопластика⁚ эта процедура направлена на увеличение ширины десны за счет перемещения тканей из соседних участков.
- Трансплантация десны⁚ в этом случае используется ткань из других участков полости рта (например, с неба) для закрытия оголенных корней.
- Применение направленной регенерации тканей (ПРТ)⁚ этот метод стимулирует регенерацию костной и десневой ткани с помощью специальных мембран и костных заменителей.
Выбор оптимального метода лечения осуществляется врачом-пародонтологом после тщательного обследования и оценки состояния полости рта.
Прогноз восстановления и профилактика рецессии
Прогноз восстановления десны после рецессии зависит от нескольких факторов, включая степень тяжести заболевания, общее состояние здоровья пациента и выбранный метод лечения. В большинстве случаев хирургическое лечение дает хорошие результаты, позволяя восстановить эстетику и функциональность десен.
Однако, даже после успешного лечения важно соблюдать профилактические меры, чтобы предотвратить повторное развитие рецессии. К ним относятся⁚
- Тщательная гигиена полости рта⁚ регулярная чистка зубов щеткой и зубной нитью, использование ополаскивателей.
- Профессиональная чистка зубов у стоматолога не реже 2 раз в год.
- Своевременное лечение кариеса и других заболеваний полости рта.
- Избегание вредных привычек, таких как курение.
| Метод лечения | Описание | Преимущества | Недостатки |
|---|---|---|---|
| Лоскутная операция | Отслаивание десневого лоскута, удаление камня, перемещение лоскута | Эффективна при средней и тяжелой рецессии | Может потребоваться более длительное время восстановления |
| Вестибулопластика | Увеличение ширины десны за счет перемещения тканей | Минимально инвазивная процедура | Может быть неэффективна при значительной рецессии |
| Трансплантация десны | Использование ткани из других участков полости рта | Хорошие эстетические результаты | Более сложная и дорогостоящая процедура |
| ПРТ | Стимуляция регенерации тканей с помощью специальных материалов | Возможность восстановления костной ткани | Требует специального оборудования и материалов |
Соблюдение этих рекомендаций поможет сохранить здоровье десен и предотвратить развитие рецессии в будущем. Помните, что профилактика всегда лучше лечения. Обращайтесь к врачу-пародонтологу при первых признаках рецессии десны для своевременной диагностики и лечения.
Надеюсь, эта статья помогла вам лучше понять причины, методы лечения и прогноз восстановления десны после рецессии. Для получения более подробной информации и индивидуальных рекомендаций, пожалуйста, обратитесь к квалифицированному специалисту.
Рекомендуем также ознакомиться с нашими другими статьями о здоровье полости рта⁚ «Профилактика пародонтита», «Выбор зубной щетки», «Здоровое питание для крепких зубов».
Облако тегов
| Рецессия десны | Восстановление десны | Лечение рецессии | Пародонтология | Гигиена полости рта |
| Здоровье десен | Хирургия десны | Профилактика рецессии | Стоматология | Зубы |








