- Лечение клиновидных дефектов⁚ выбор метода в зависимости от степени поражения
- Причины возникновения клиновидных дефектов
- Классификация клиновидных дефектов по степени поражения
- Методы лечения клиновидных дефектов
- Консервативное лечение
- Реставрационное лечение
- Лечение III стадии
- Профилактика клиновидных дефектов
- Облако тегов
Лечение клиновидных дефектов⁚ выбор метода в зависимости от степени поражения
Клиновидные дефекты – это распространенная проблема, затрагивающая множество людей. Они представляют собой треугольные или клиновидные повреждения твердых тканей зуба, обычно расположенные в области шейки зуба. Эти дефекты могут быть вызваны различными факторами, включая бруксизм (скрежетание зубами), неправильную технику чистки зубов, кислотную эрозию, а также генетическую предрасположенность. Понимание причин возникновения клиновидных дефектов – первый шаг к правильному лечению, которое напрямую зависит от степени поражения. В этой статье мы рассмотрим различные методы лечения и поможем вам разобраться, какой из них подходит именно вам.
Причины возникновения клиновидных дефектов
Как уже упоминалось, причины возникновения клиновидных дефектов могут быть многообразны. Бруксизм, или привычка сжимать и скрежетать зубами, является одной из наиболее распространенных причин. Постоянное напряжение и трение приводят к постепенному истиранию эмали и дентина в области шейки зуба, формируя характерную клиновидную форму дефекта. Неправильная техника чистки зубов, особенно агрессивное чистка с использованием жесткой щетки и абразивных паст, также может способствовать развитию клиновидных дефектов. Кислотная эрозия, вызванная частым употреблением кислых продуктов и напитков (газированные напитки, цитрусовые), разрушает эмаль, делая зуб более уязвимым к повреждениям. Наконец, генетическая предрасположенность также играет роль, определяя индивидуальную устойчивость эмали к внешним воздействиям.
Классификация клиновидных дефектов по степени поражения
Для выбора оптимального метода лечения необходимо определить степень поражения клиновидного дефекта. Врачи-стоматологи обычно используют следующую классификацию⁚
| Стадия | Описание |
|---|---|
| I стадия | Поражение ограничивается поверхностным слоем эмали, без видимого повреждения дентина. |
| II стадия | Поражение распространяется на дентин, но не затрагивает пульпу (нерв зуба). |
| III стадия | Поражение глубокое, затрагивает пульпу, что может привести к развитию пульпита или периодонтита. |
Выбор метода лечения напрямую зависит от стадии поражения. На ранних стадиях можно обойтись консервативными методами, а на поздних стадиях может потребоваться более сложное вмешательство.
Методы лечения клиновидных дефектов
Консервативное лечение
На I стадии, когда поражение незначительно, достаточно применения профилактических мер⁚ коррекция техники чистки зубов, использование мягкой щетки и фторсодержащих паст. В некоторых случаях врач может порекомендовать реминерализующие процедуры, направленные на укрепление эмали и предотвращение дальнейшего разрушения. Эти процедуры включают в себя нанесение специальных гелей и лаков, содержащих фтор, кальций и фосфор.
Реставрационное лечение
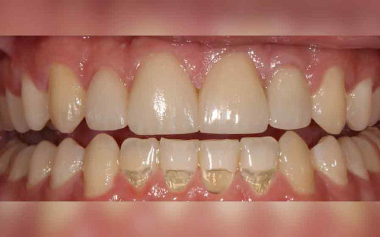
На II стадии, когда поражение затрагивает дентин, необходимо реставрационное лечение. Врач-стоматолог подбирает материал для пломбировки, учитывая цвет и анатомические особенности зуба. Современные композитные материалы позволяют создать эстетичную и долговечную реставрацию, практически неотличимую от натуральной ткани зуба. Перед пломбированием дефект тщательно очищаеться и обрабатывается, чтобы обеспечить надежное сцепление материала с тканями зуба.
Лечение III стадии
На III стадии, когда поражение затрагивает пульпу, требуется эндодонтическое лечение (лечение корневых каналов). Это более сложная процедура, которая включает в себя удаление инфицированных тканей из корневых каналов, их очистку и пломбировку. После эндодонтического лечения проводится реставрация коронковой части зуба. В некоторых случаях может потребоваться установка коронки для защиты и восстановления функциональности зуба;
Профилактика клиновидных дефектов
- Правильная техника чистки зубов с использованием мягкой щетки и фторсодержащей пасты.
- Ограничение потребления кислых продуктов и напитков.
- Регулярные осмотры у стоматолога.
- Лечение бруксизма (при наличии).
- Использование капп для защиты зубов от истирания.
Регулярные посещения стоматолога являются ключевым фактором в профилактике и своевременном лечении клиновидных дефектов. Ранняя диагностика позволяет начать лечение на ранних стадиях, когда оно наиболее эффективно и менее затратно. Не откладывайте визит к врачу, если у вас появились признаки клиновидных дефектов.
Выбор метода лечения клиновидных дефектов зависит от степени поражения. Важно обратиться к опытному стоматологу для проведения диагностики и определения оптимальной стратегии лечения. Профилактика играет важную роль в предотвращении развития клиновидных дефектов и сохранении здоровья ваших зубов на долгие годы.
Надеемся, эта статья помогла вам лучше понять лечение клиновидных дефектов. Для получения более подробной информации, ознакомьтесь с нашими другими статьями о здоровье зубов и полости рта!
Облако тегов
| Клиновидные дефекты | Лечение зубов | Стоматология |
| Эмаль | Дентин | Профилактика |
| Реставрация | Бруксизм | Кислотная эрозия |








