некоторых случаях может потребоваться
Лечение дисплазии эмали у детей⁚ Полное руководство для родителей Дисплазия эмали – это распространенное заболевание, которое влияет на развитие зубной
Лечение периодонтита молочных зубов⁚ сохранение альвеолярной кости Периодонтит молочных зубов – распространенное заболевание, которое, несмотря на временный
Выбитый зуб⁚ шансы на спасение и этапы реимплантации Потеря зуба – это всегда стрессовая ситуация, вызывающая панику и страх․ Однако, не стоит отчаиваться!
Лечение абсцесса⁚ эффективные методы и профилактика Абсцесс – это гнойное скопление‚ образующееся в тканях организма в результате инфекции․ Он может
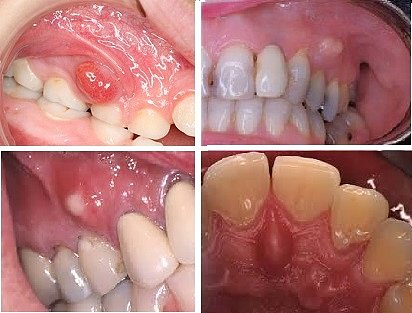
Лечение флюса⁚ эффективные методы и профилактика Флюс, или одонтогенный периостит, – это гнойное воспаление надкостницы челюсти, возникающее как осложнение
Современные методы лечения анкилозированных зубов Анкилоз зуба – это патологическое состояние, при котором происходит сращение корня зуба с окружающей
Современные методы лечения анкилозированных зубов Анкилоз зуба – это патологическое состояние, при котором происходит сращение корня зуба с окружающей
Комбинированная медикаментозная терапия пародонтита⁚ эффективные подходы к лечению Пародонтит – это серьезное заболевание, затрагивающее ткани, окружающие зубы.
Лечение одонтогенного гайморита⁚ Полное руководство Одонтогенный гайморит – это серьезное заболевание, представляющее собой воспаление гайморовой пазухи
Лечение пульпита и периодонтита у подростков⁚ особенности и сложности Пульпит и периодонтит – серьезные заболевания зубов, требующие незамедлительного лечения.










