- Реабилитация после установки зубных протезов⁚ полный гид по комфортному восстановлению
- Первые дни после установки протезов⁚ что ожидать и как облегчить дискомфорт
- Гигиена полости рта после установки протезов⁚ ключевые моменты
- Рекомендации по уходу за протезами⁚
- Питание после установки протезов⁚ что можно и чего нельзя
- Пример меню на первые дни после установки протезов⁚
- Возможные осложнения и их профилактика
- Полное восстановление и адаптация к протезам
- Облако тегов
Реабилитация после установки зубных протезов⁚ полный гид по комфортному восстановлению
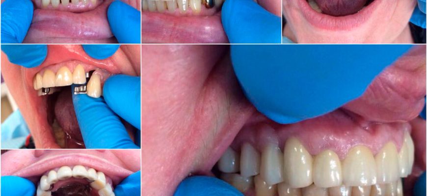
Установка зубных протезов – это значительное событие в жизни человека, возвращающее уверенность в себе и улучшающее качество жизни. Однако период после процедуры требует внимательного отношения к своему здоровью и соблюдения рекомендаций стоматолога. Реабилитация после установки протезов – это не просто ожидание привыкания, а целенаправленный процесс, влияющий на долговечность и функциональность новых зубов. В этой статье мы подробно разберем все этапы реабилитации, начиная от первых дней после установки и заканчивая полным восстановлением комфортного состояния.
Первые дни после установки протезов⁚ что ожидать и как облегчить дискомфорт
Первые несколько дней после установки протезов могут сопровождаться некоторыми неудобствами. Это совершенно нормально, ведь полость рта адаптируется к новому протезу. Вы можете ощущать дискомфорт, легкую боль, чувство инородного тела во рту, а также затрудненное произношение некоторых звуков. Стоматолог, как правило, предупреждает об этих возможных последствиях и дает рекомендации по облегчению состояния. Важно помнить, что интенсивность и длительность этих ощущений индивидуальны и зависят от типа протеза и особенностей организма.
Для снижения дискомфорта в первые дни рекомендуется употреблять мягкую пищу, избегать горячих и холодных напитков, а также тщательно следить за гигиеной полости рта. Некоторые пациенты находят облегчение, используя специальные гели или мази, которые уменьшают воспаление и боль. Однако перед применением любых дополнительных средств необходимо проконсультироваться со своим стоматологом.
Гигиена полости рта после установки протезов⁚ ключевые моменты
Правильная гигиена полости рта является залогом долговечности протезов и здоровья десен. Необходимо тщательно очищать протезы и окружающие ткани дважды в день, используя специальные щетки, пасты и ополаскиватели, рекомендованные стоматологом. Важно помнить, что обычные средства гигиены могут повредить поверхность протезов. Неправильная чистка может привести к накоплению бактерий, развитию воспаления и неприятного запаха.
Для чистки протезов следует использовать мягкую щетку с короткими щетинками, чтобы избежать царапин на поверхности. После чистки протезы необходимо тщательно промыть проточной водой. Кроме того, регулярные осмотры у стоматолога позволят своевременно выявить и устранить возможные проблемы.
Рекомендации по уходу за протезами⁚
- Чистить протезы дважды в день специальными средствами.
- Использовать мягкую щетку с короткими щетинками.
- Тщательно промывать протезы после чистки.
- Регулярно посещать стоматолога для осмотра.
Питание после установки протезов⁚ что можно и чего нельзя
В первые недели после установки протезов рекомендуется придерживаться диеты, состоящей из мягкой и легко пережевываемой пищи. Это поможет избежать травмирования десен и ускорит процесс адаптации. Следует избегать твердой, липкой и грубой пищи, которая может повредить протезы или вызвать дискомфорт. Постепенно, по мере привыкания к протезам, можно расширять свой рацион.
Важно помнить, что правильное питание играет важную роль в процессе реабилитации. В рационе должны быть продукты, богатые витаминами и минералами, необходимыми для укрепления десен и всего организма. Врач может дать индивидуальные рекомендации по питанию, учитывая особенности вашего здоровья.
Пример меню на первые дни после установки протезов⁚
| Завтрак | Обед | Ужин |
|---|---|---|
| Каша на молоке, пюре из фруктов | Суп-пюре, отварное мясо, пюре из овощей | Рыбный фарш, тушеные овощи |
Возможные осложнения и их профилактика
Несмотря на то, что установка зубных протезов – это достаточно безопасная процедура, в некоторых случаях могут возникнуть осложнения. К ним относятся воспаление десен, аллергические реакции на материалы протеза, образование язв и другие проблемы. Чтобы минимизировать риски, важно соблюдать все рекомендации стоматолога, тщательно ухаживать за полостью рта и регулярно посещать врача для контроля.
При появлении любых признаков осложнений, таких как сильная боль, кровотечение, отек десен, необходимо немедленно обратиться к стоматологу. Своевременное обращение к врачу позволит избежать серьезных проблем и сохранить здоровье полости рта.
Полное восстановление и адаптация к протезам
Полная адаптация к зубным протезам занимает различное время в зависимости от индивидуальных особенностей организма и типа протеза. В среднем, этот процесс может занять от нескольких недель до нескольких месяцев. Постепенно вы привыкните к ощущению протезов во рту, научитесь свободно жевать и говорить. Важно помнить, что терпение и последовательность – залог успеха.
После полного восстановления вы сможете наслаждаться всеми преимуществами наличия новых зубов⁚ уверенностью в себе, красивой улыбкой и полноценным питанием. Регулярные осмотры у стоматолога помогут сохранить здоровье полости рта и продлить срок службы протезов.
Реабилитация после установки зубных протезов – это важный этап, требующий внимания и терпения. Соблюдение всех рекомендаций стоматолога, тщательная гигиена полости рта и правильное питание помогут вам быстро и комфортно адаптироваться к новым зубам и наслаждаться полноценной жизнью. Не забывайте, что регулярные визиты к стоматологу – это залог здоровья вашей улыбки на долгие годы.
Прочитайте также наши другие статьи о здоровье зубов и уходе за протезами!
Облако тегов
| зубные протезы | реабилитация | уход за протезами |
| гигиена полости рта | питание после протезирования | осложнения |
| адаптация | восстановление | стоматолог |








