- Завершение ортодонтического лечения и последующий уход за зубами⁚ Важные рекомендации
- Гигиена полости рта после снятия брекетов
- Использование ирригатора
- Ретейнеры⁚ Необходимость после ортодонтического лечения
- Виды ретейнеров и их особенности
- Профессиональная гигиена полости рта
- Возможные проблемы после снятия брекетов и их решение
- Облако тегов
Завершение ортодонтического лечения и последующий уход за зубами⁚ Важные рекомендации
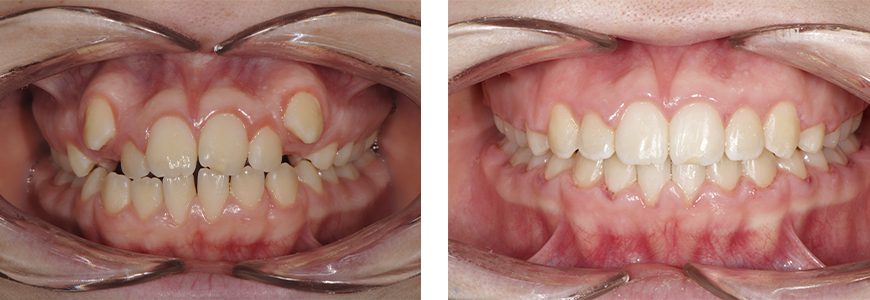
Вы наконец-то достигли заветной цели – завершили ортодонтическое лечение! Поздравляем! После долгих месяцев или даже лет ношения брекетов или других ортодонтических аппаратов, ваши зубы обрели красивую и ровную улыбку. Однако, на этом ваш путь к здоровой и сияющей улыбке не заканчивается. Правильный уход за зубами после снятия брекетов – это залог сохранения достигнутого результата на долгие годы. В этой статье мы подробно рассмотрим все важные аспекты пост-ортодонтического ухода, помогая вам сохранить вашу прекрасную улыбку.
Многие пациенты, завершив лечение, расслабляются, считая, что все трудности позади. Это распространенная ошибка, которая может привести к нежелательным последствиям. Зубы, которые только что завершили период активного перемещения, остаются достаточно подвижными. Поэтому особо тщательный уход за ними – это инвестиция в долгосрочное сохранение результата ортодонтического лечения; Не пренебрегайте рекомендациями вашего ортодонта – ваша улыбка зависит от этого.
Гигиена полости рта после снятия брекетов
Снятие брекетов – это лишь первый шаг на пути к окончательной фиксации зубов в новом положении. После снятия брекетов вам потребуется еще более тщательная гигиена полости рта, чем раньше. Дело в том, что на поверхности зубов может оставаться цемент, который использовался для фиксации брекетов. Кроме того, зубы могут быть более чувствительными.
Рекомендуется использовать мягкую зубную щетку с округленными щетинками, чтобы не повредить зубную эмаль. Чистить зубы нужно не менее двух раз в день, используя пасту с фтором. Межзубные пространства следует очищать с помощью зубной нити или межзубных ершиков. Ваш ортодонт подберет для вас оптимальные инструменты и научит правильной технике чистки.
Использование ирригатора
Ирригатор – это устройство, которое очищает зубы с помощью струи воды под давлением. Он помогает удалить остатки пищи из труднодоступных мест, что особенно актуально после снятия брекетов. Использование ирригатора в комбинации с традиционной чисткой зубами значительно улучшает гигиену полости рта.
Не забудьте проконсультироваться с вашим ортодонтам по поводу выбора и использования ирригатора. Он поможет вам выбрать оптимальную модель и научит правильной технике его применения. Правильное использование ирригатора может стать залогом сохранения результатов лечения на многие годы.
Ретейнеры⁚ Необходимость после ортодонтического лечения
После снятия брекетов, чтобы избежать возвращения зубов в исходное положение, необходимо использовать ретейнеры. Ретейнеры – это специальные съемные или несъемные аппараты, которые фиксируют зубы в новом положении. Они предотвращают рецидив и помогают закрепить результаты лечения.
Съемные ретейнеры необходимо носить в течение определенного времени, указанного ортодонтом, обычно в ночное время. Несъемные ретейнеры представляют собой тонкую проволоку, которая крепится на внутренней поверхности зубов. Она практически незаметна и позволяет поддерживать зубы в правильном положении в течение долгого времени. Выбор типа ретейнера зависит от индивидуальных особенностей пациента и рекомендаций ортодонта.
Виды ретейнеров и их особенности
| Тип ретейнера | Описание | Преимущества | Недостатки |
|---|---|---|---|
| Съемный | Пластиковая каппа, охватывающая зубы | Легко снимать для чистки | Требует дисциплины в ношении |
| Несъемный (лингвальный) | Тонкая проволока на внутренней стороне зубов | Постоянная фиксация | Может вызывать дискомфорт в начале |
Профессиональная гигиена полости рта
Даже при самом тщательном домашнем уходе, необходимо регулярно посещать стоматолога для профессиональной гигиены полости рта. Профессиональная чистка позволяет удалить налет и камни, которые невозможно удалить в домашних условиях. Это особенно важно после снятия брекетов, так как на поверхности зубов могут оставаться остатки цемента.
Ваш стоматолог также сможет оценить состояние ваших зубов и десен, и при необходимости дать рекомендации по дополнительным процедурам. Регулярные профилактические осмотры у стоматолога – это неотъемлемая часть поддержания здоровья полости рта после ортодонтического лечения.
Возможные проблемы после снятия брекетов и их решение
После снятия брекетов могут возникнуть некоторые проблемы, такие как повышенная чувствительность зубов или небольшие дискомфорт. Эти явления обычно временные и проходят через несколько дней или недель. Однако, если дискомфорт усиливается или возникают другие проблемы, необходимо сразу же обратиться к своему ортодонту.
Не откладывайте визит к врачу, если вы заметили изменение цвета зубов, появление боли, или другие необычные симптомы. Своевременное обращение к специалисту поможет предотвратить серьезные осложнения и сохранить результаты ортодонтического лечения.
- Повышенная чувствительность зубов
- Незначительный дискомфорт
- Возможны небольшие изменения положения зубов
Завершение ортодонтического лечения – это важный этап, но не финишная прямая. Тщательный уход за зубами после снятия брекетов – это залог сохранения вашей красивой улыбки на долгие годы. Следуйте рекомендациям вашего ортодонта, регулярно посещайте стоматолога и не забывайте о правильной гигиене полости рта. Ваша улыбка стоит этих усилий!
Надеемся, эта статья была для вас полезной. Мы рекомендуем прочитать также наши статьи о профилактике кариеса и о выборе правильной зубной пасты.
Облако тегов
| брекеты | ортодонтия | ретейнеры | зубная нить | гигиена полости рта |
| стоматолог | уход за зубами | профессиональная чистка | чувствительность зубов | здоровая улыбка |








