- Новые методы лечения эрозии эмали⁚ современные подходы к сохранению здоровья зубов
- Причины эрозии эмали и факторы риска
- Современные методы лечения эрозии эмали
- Реминерализация эмали
- Композитные пломбы
- Виниры
- Профессиональная гигиена полости рта
- Профилактика эрозии эмали
- Таблица сравнения методов лечения эрозии эмали
- Облако тегов
Новые методы лечения эрозии эмали⁚ современные подходы к сохранению здоровья зубов
Эрозия эмали – проблема, с которой сталкиваются многие люди. Она проявляется в постепенном разрушении твердых тканей зуба, что приводит к повышенной чувствительности, эстетическим дефектам и, в запущенных случаях, к серьезным проблемам с зубами. В прошлом лечение эрозии эмали было ограничено, но современная стоматология предлагает множество новых, эффективных методов, позволяющих не только остановить разрушительный процесс, но и восстановить поврежденные участки. В этой статье мы рассмотрим наиболее передовые и перспективные из них, помогая вам разобраться в вопросе сохранения здоровья вашей улыбки.
Причины эрозии эмали и факторы риска
Прежде чем говорить о лечении, важно понять, что вызывает эрозию эмали. К основным причинам относятся⁚ кислотный рефлюкс (гастроэзофагеальная рефлюксная болезнь – ГЭРБ), частое употребление кислых продуктов и напитков (газировка, цитрусовые, фруктовые соки), неправильный уход за полостью рта, бруксизм (скрежетание зубами), и даже некоторые лекарственные препараты. Важно отметить, что часто эрозия развивается под воздействием нескольких факторов одновременно. Поэтому для эффективного лечения необходимо комплексный подход, направленный на устранение всех причин.
Среди факторов риска можно выделить генетическую предрасположенность, курение, недостаток минералов в организме, а также некоторые заболевания, например, булимия или анорексия; Если вы относитесь к одной из групп риска, регулярные профилактические осмотры у стоматолога особенно важны для раннего выявления и своевременного лечения эрозии эмали.
Современные методы лечения эрозии эмали
Современная стоматология предлагает широкий спектр методов лечения эрозии эмали, направленных на остановку разрушительного процесса и восстановление поврежденных тканей. Выбор метода зависит от степени поражения, индивидуальных особенностей пациента и других факторов. Рассмотрим наиболее эффективные⁚
Реминерализация эмали
Этот метод направлен на восстановление минерального состава эмали, укрепление ее структуры и повышение устойчивости к кислотному воздействию. Процедура включает использование специальных препаратов, содержащих фтор, кальций и фосфор. Они наносятся на поверхность зубов, позволяя минералам проникать в поврежденные участки эмали и восстанавливать ее структуру. Реминерализация может проводиться как в кабинете стоматолога, так и в домашних условиях с помощью специальных гелей и паст.
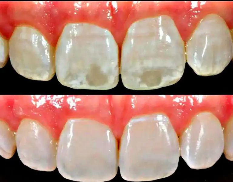
Композитные пломбы
При значительном поражении эмали применяются композитные пломбы. Это высокоэстетичный и надежный метод восстановления поврежденных участков. Композитные материалы точно подбираются по цвету, идеально маскируя дефекты и восстанавливая естественный вид зубов. Этот метод особенно эффективен при лечении поверхностной и средней эрозии.
Виниры
В случаях выраженной эрозии, когда другие методы неэффективны, могут использоваться виниры. Виниры представляют собой тонкие пластинки из керамики или композитного материала, которые крепятся на переднюю поверхность зубов, маскируя дефекты и восстанавливая эстетику улыбки. Виниры – это долговечный и высокоэстетичный метод, но требуют более сложной процедуры установки.
Профессиональная гигиена полости рта
Независимо от выбранного метода лечения, профессиональная гигиена полости рта является обязательной составляющей комплексного подхода. Она включает удаление зубного налета и камней, полировку поверхности зубов, что способствует лучшему проникновению лечебных препаратов и снижает риск дальнейшего развития эрозии.
Профилактика эрозии эмали
Лучшее лечение – это профилактика. Чтобы предотвратить развитие эрозии эмали, следует придерживаться следующих рекомендаций⁚
- Снизить потребление кислых продуктов и напитков.
- Использовать соломинку при употреблении газированных напитков.
- Тщательно чистить зубы дважды в день.
- Использовать зубную пасту с повышенным содержанием фтора.
- Регулярно посещать стоматолога для профилактических осмотров.
- Избегать бруксизма (скрежетания зубами).
Правильный уход за полостью рта и своевременное обращение к стоматологу – залог здоровых и красивых зубов на долгие годы. Не стоит забывать, что ранняя диагностика и лечение эрозии эмали значительно повышают шансы на успешное восстановление и предотвращение серьезных осложнений.
Таблица сравнения методов лечения эрозии эмали
| Метод лечения | Эффективность | Стоимость | Продолжительность лечения |
|---|---|---|---|
| Реминерализация | Высокая (при начальных стадиях) | Низкая | Несколько сеансов |
| Композитные пломбы | Высокая | Средняя | Один-два сеанса |
| Виниры | Высокая | Высокая | Несколько сеансов |
Эта информация носит общий характер и не заменяет консультации специалиста; Для получения индивидуальных рекомендаций по лечению эрозии эмали, необходимо обратиться к квалифицированному стоматологу.
Надеемся, эта статья помогла вам лучше понять проблему эрозии эмали и современные методы ее лечения. Рекомендуем ознакомиться с другими нашими материалами, посвященными здоровью полости рта.
Узнайте больше о профилактике и лечении заболеваний полости рта, прочитав наши другие статьи!
Облако тегов
| Эрозия эмали | Лечение зубов | Здоровье зубов | Стоматология | Реминерализация |
| Композитные пломбы | Виниры | Профилактика | Гигиена полости рта | Чувствительность зубов |








